Of Bonds, brawn, brains and blubber
The 'body positivity' movement is bad for your brain... in more ways than one.
Recently, my elderly and very-tech-challenged mother asked me to order some of her favourite comfy undies1 online, to save her the bother of navigating the crowded local shopping centre on her walker. No worries, says I, and off I hop to the Bonds website.
Generations of Australians have grown up wearing Bonds, ever since George Bond began manufacturing underwear in the Sydney suburb of Camperdown in 1918. I cordially detest the overuse of the word 'iconic', but it does seem appropriate for a brand whose advertising avatar, 'Chesty Bond' - a square-jawed, broad-shouldered, bulging-biceped bloke who epitomised the popular image of the rugged Australian male - became the star of a long-running and hugely popular cartoon series. Upon donning his Bonds athletic singlet, Chesty Bond transformed into a super-hero who performed all manner of manly feats, including capturing Adolf Hitler (and tying him up with his singlet).
Given Bonds' historical iconography, the images that greeted me when I visited the brand's website were quite shocking. Most of Bonds' male underwear models (helpfully labelled with their he/him pronouns) are either gracile to the point of skinniness, or frankly corpulent (and don't get me started on the man-buns... or the 'Genderfree' range featuring bra tops for blokes2).
Chesty Bonds is now Chunky Bonds, with his spare tyre cantilevered over his guyfront trunks.
And while a higher proportion of Bonds' female models have bodies that the typical girl or woman would aspire to, overweight models are also prominently featured.
(This issue isn't unique to Bonds, of course. Victoria's Secret has also famously attempted to revive its flagging sales by including overweight models in its line-up.)
Now, I'm all in favour of Bonds, or any other clothing brand, featuring models with a wide variety of healthy body types. Not all women have big breasts, a small waist and a thigh gap. Not all men have broad shoulders and washboard abs. There's a wide variety of human forms that are compatible with good health (and are therefore viewed as attractive), and I'm all for representing these forms in advertising. But normalising and celebrating obesity is a different matter entirely.
As I've written about in three previous articles on the harmful impact of obesity-normalising 'body positivity' (Is the ‘Health At Every Size’ movement helping or hurting?, Larger body, shorter life and The curious case of fat activism and COVID), there is an abundant literature demonstrating that carrying excess body fat is bad for your physical health and psychological well-being.
And a new study adds to the growing body of evidence (pardon the pun) that the larger your fat stores, the smaller your brain.
A team of researchers conducted full-body magnetic resonance imaging (MRI) scans on 10 001 US and Canadian men and women from a variety of ethnicities, and aged between 18 and 90. They used deep learning algorithms (a type of artificial intelligence that teaches computers to imitate the way humans learn from experience) to quantify the volumes of 96 distinct regions of each participant's brain, and the amounts of two types of fat in their abdominal region: subcutaneous - the superficial fat that lies just beneath the skin - and visceral - the fat that deposits around, and intrudes into, vital organs.
I'll spare you the details of the complicated statistical analyses that they performed to identify and quantify relationships between subcutaneous fat, visceral fat, and brain volumes (although as always, I encourage to read the article for yourself). But after all the number-crunching was done, here's what they found:
The higher the volume of visceral fat, the lower the volumes of both grey and white matter in the brain (i.e. fatter body = smaller brain). The negative correlation with visceral fat volume was more pronounced with grey matter - the part of the brain primarily responsible for thinking, remembering and processing emotions - than with white matter.
Although women had a lower average volume of visceral fat than men, they had a greater decrease in brain volume with increased visceral fat. Visceral fat accumulation, in other words, is particularly hazardous to women's brains.
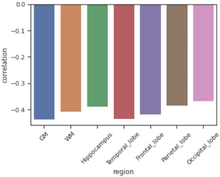
The region of the brain that appeared most affected by visceral fat accumulation was the temporal lobe, which is highly associated with memory. The next most-affected brain region was the frontal lobe (self-control, memory, and emotional expression), followed by the cerebellum (motor control and emotional processing), parietal lobe (sensory processing), and occipital lobe (visual processing).

Higher visceral fat was also associated with lower volume in the brain regions most associated with Alzheimer's disease - the hippocampus, posterior cingulate gyrus, and precuneus - with women's brains being, once again, more adversely affected by excess visceral fat than men's brains.
Subcutaneous abdominal fat was also inversely associated with brain volume, including in the regions associated with Alzheimer's disease and - contrary to some previous findings - the effect sizes were even larger than for visceral fat.
The negative impact of visceral fat on grey matter volume, while evident in all age groups, was most pronounced in younger people. In participants aged 20-39, the odds ratio of having lower total grey matter was 5.9 in those with the highest visceral fat volume. In those aged 40-59, the odds ratio was 5.4, and in 60-80 year olds, it was 5.1.
Why is excess abdominal fat so bad for the brain? The authors of this study draw on previous research demonstrating that body fat is pro-inflammatory, and that obesity degrades the blood brain barrier. The combination of these factors results in neuroinflammation, an inflammatory response within the brain or spinal cord which drives the destruction of brain cells and the connections between them, and the accumulation of neurofibrillary tangles and amyloid plaques that characterise Alzheimer's disease.
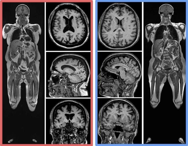
Below is a figure from the study, showing scans of two 61 year old women. The woman on the left has high abdominal fat accumulation, both subcutaneous and visceral (notice the extensive infiltration of fat, which appears white on the scan, into her abdominal cavity). The woman on the right has comparatively little abdominal fat; you'll notice that her fat deposits are concentrated on her hips and thighs, in the typical gynoid fat distribution pattern. Observe the much greater volumes of grey and white matter in the brain of the woman on the right, compared to the larger 'dark' area, indicating brain atrophy, in the woman on the left.

Now take another look at the pudgy Bonds underwear models. Those bulges above their hips aren't adorable 'love handles'. That doughy protuberance of the midsection isn't a cute little 'muffin top'. These are visible indicators of the poor state of the models' health; harbingers of the painful future of premature cognitive decline, and heightened risk of Alzheimer's disease that awaits these individuals if they don't slim down - and soon.
I wonder what the cartoonists who brought taut-torsoed Chesty Bond to heroic life back in 1940 would think, if they could see what the brand has resorted to: celebrating brain-shrinking obesity in the name of 'body positivity'.
The bottom line is this: If you're carrying excess fat in your belly region, whether it's just under the skin or wrapping itself around and intruding into your abdominal organs, you're accelerating the age-related shrinkage of your brain and putting yourself at increased risk of cognitive decline and Alzheimer's disease. And no amount of woke virtue-signalling about 'diversity' and 'inclusion' will change this.
(Wondering how to lose that belly fat? A randomised cross-over trial of a plant-based diet vs the much-touted Mediterranean diet found that overall weight loss, fat loss, and visceral fat loss were significantly greater on the plant-based diet:

The low-fat plant-based diet led to greater reductions in body weight (by 6.0 kg), fat mass (by 3.4 kg), and visceral fat (by 315 cm3) than the Mediterranean diet.)
I bought my Mum her favourite Bonds undies. But next time, I'll be looking for a brand that doesn't glorify ill-health to burnish its woke credentials.
Want to learn more about how to eat for optimal health and longevity? My Be Your Own Doctor seminar is now available for you to view in the comfort of your own home. Use the coupon code Empowered20 to get $20 off (valid until 31 October 2023).
Translation for my non-Australian readership: comfortable underwear.
The handy-dandy genderfree size chart unfortunately offers no guidance for choosing the right bra size for those who lack actual breasts.





I'm actually from the Chesty Bonds era - I remember them well. It was also a time when you didn't have to worry about being a bad 'fat-shamer' if you looked askance on the obese. Now, 'inclusion' means we can't tell the truth about what obesity is doing to health and 'plus-size' models have to be celebrated instead of pitied.
Nice to know that the research literature shows that it is literally smart to lose the excess pudginess by looking after your brain health in a real, physio-biological way.
Very interesting!